Amit az Ihde Azonnal Terhelhető Implantátum Rendszerről tudni érdemes
Gyors, biztonságos, kevesebb fájdalommal jár, továbbá kedvező ár-érték arányú! Így jellemezhetnénk legjobban az Ihde Azonnal Terhelhető Implantátumokat, ami már önmagában elég ahhoz, hogy világszerte több mint 100000 páciens választotta a 21. századi orvostudomány egyik legmodernebb fogpótló eljárását.
A svájci cég több, mint 60 éves tapasztalatának és Stephan Ihde Professzor fejlesztéseinek köszönhetően, az elmúlt 10 évben robbanásszerűen megnőtt az így implantált betegek száma.
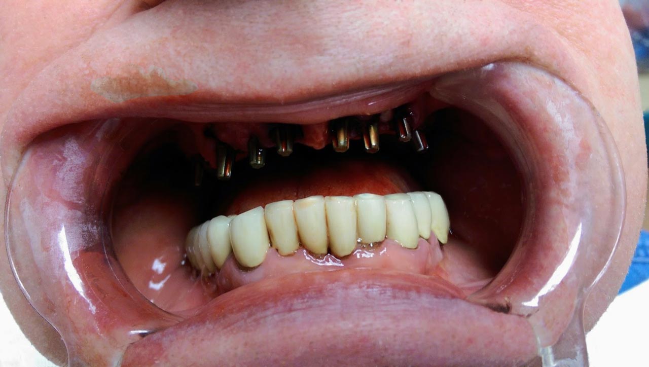
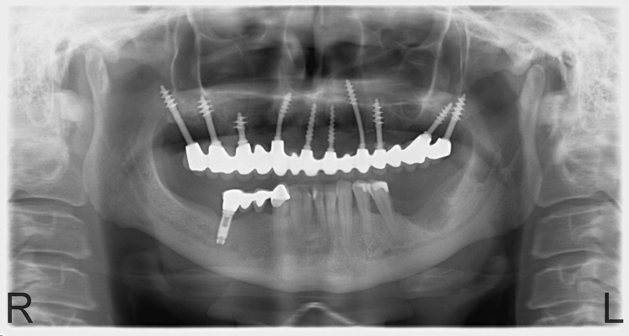
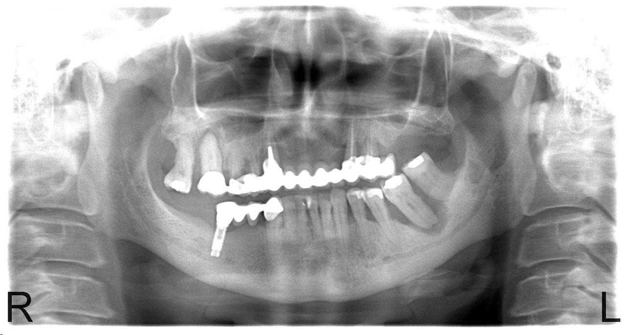
Sikerét mindenekelőtt a gyorsaságának köszönheti, hiszen a mai rohanó világban kinek van ideje, kedve fogatlanul otthon ülni heteket, hónapokat a fogpótlásra várva? Az Ihde implantációs eljárás során a páciens azonnal, de legkésőbb 72 óra múlva egy rögzített (tehát nem mozgó, nem kivehető) pótlással hagyja el a rendelőt. Ez az egyedülállóan gyors eljárás annak köszönhető, hogy azonnal tudunk implantálni szinte bárhova, akár foghúzás után is, továbbá a művelet nem jár nagy feltárásokkal, nincs szükség csontbeültetésre, így a gyógyulás folyamata is nagyon gyors és a beültetés technikájának köszönhetően maximum 72 óra múlva a korona is feltehető. Tehát ennyi idő alatt foga lesz a betegnek és az implantátum azonnal terhelhetővé is válik.
Az eljárás mellett szól az is, hogy nagyon biztonságos. A cég adatai alapján a beültetett implantátumok 98.2%-a sikeres. Az azonnali terhelésű implantátumokkal rögtön, akár foghúzás után is szinte bárhová lehet implantálni, bárkinek, legyen szó cukorbeteg, dohányos, vagy akár csontritkulásban szenvedő páciensről. Ennek köszönhető, hogy a betegek 99%-ánál alkalmazható a módszer.
A gyorsaság, a biztonság mellett, a lehető legkevesebb elszenvedett fájdalom jellemzi még az Ihde fogpótló rendszert. Egyrészt, kevesebb időt tölt az érintett személy a fogorvosnál, másrészt, minimális a behatoló fizikai beavatkozás és kisebb az összműtéti terhelés, ami a fájdalmakat is minimalizálja.
A kedvező ár-érték arányú is a pótlás, hiszen a gyorsasággal időt spórolunk meg, nem kell annyit a fogorvoshoz utazni, nincs költséges csontbeültetés, a fogorvosok által nyújtott csomag ajánlatokkal pedig akár 45%-kal olcsóbban kaphatja meg az implantátumokat, a mennyiségi kedvezmények miatt.
Természetesen, az Ihde Azonnal Terhelhető Implantátum Rendszer alkalmazása speciális szaktudást igényel, így elengedhetetlen az orvosok gondos és folyamatos képzése. Ez, illetve a kiváló minőségű svájci alapanyagok és a sok évtizedes, precíz, innovatív gyártási technológia együttese adja, hogy a cég kiemelkedően magas (98,2%-os) sikert ér el, az Ihde implantátumok bent maradásának mérésekor.
Forrás: http://ihdesmile.hu/, The Journal of the American Dental Association (2011.03.29.) valamint International Implant Foundation és Dental Spiegel (2009/1-2)