Fogmegtartó kezelések
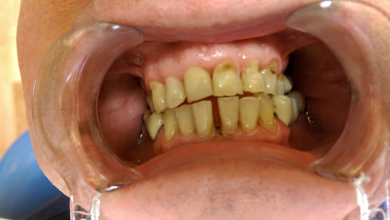
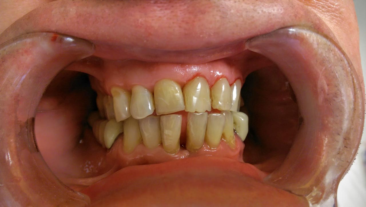
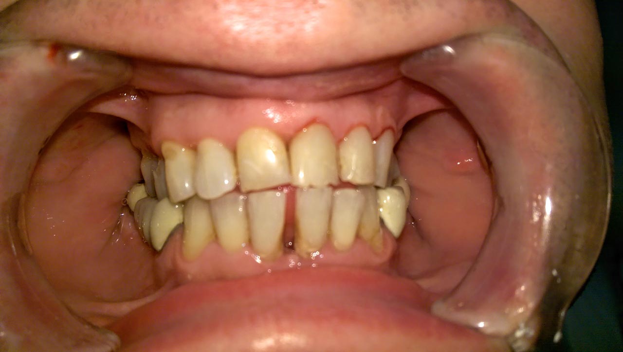
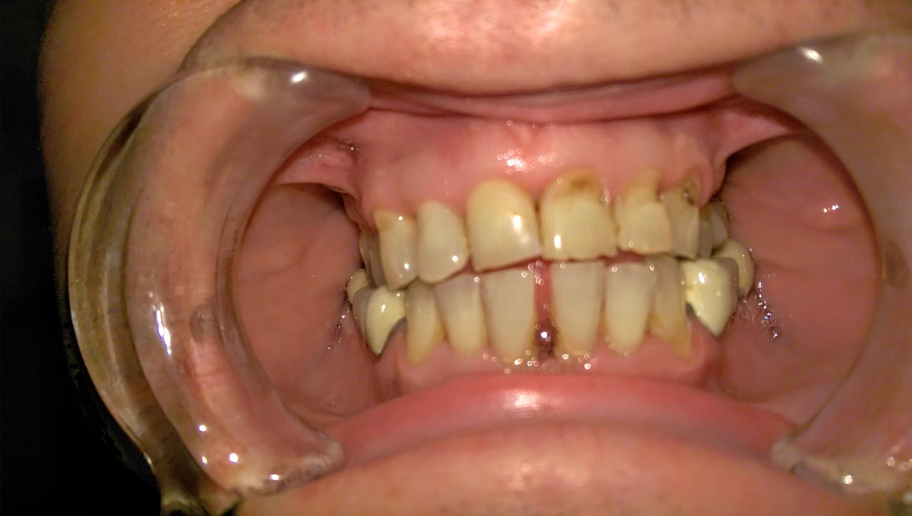
Amennyiben pácienseink rendszeresen részt vesznek az éves szűrővizsgálaton, az esetek jelentős részében elkerülhetőek a foghúzások, szájsebészeti komolyabb beavatkozások, és csupán apróbb kezelésekre lehet szükség! Ilyenek például a szájhigiéniás kezelések, esztétikus tömések, betétek, koronák, gyökérkezelések.
A szűrővizsgálatot minden esetben részletes konzultáció követ, melynek során feltárjuk a különböző lehetőségeket, részletes felvilágosítást adunk mind a kezelésről, mind pedig a gyógyulási folyamatról.
Betegeink többféle (kémiai kötésű és fényre kötő) esztétikus tömés közül orvosainkkal együtt választják ki a megfelelőbbet! Fémmentes betéteinkkel, koronáinkkal természethűen tudjuk visszaállítani fogazatát. Gyökérkezeléseket csúcstechnológiás gépi tágítóval végezzük, aminek segítségével milliméter pontosan tudjuk bemérni a gyökértöméshez a csatorna hosszát.
Félős, szorongó pácienseinknél illetve hosszabb, fájdalmasabb kezeléseknél lehetőség van helyi érzéstelenítés mellett éber szedációra (Dinitrogénoxid), teljes intravénás szedációra aneszteziológussal, illetve hipnózisos kezelésre.
Gyermekeknek szívesen végzünk barázdazárást, melyre - töméseinkhez hasonlóan - garanciát vállalunk!











